A beautiful smile is more than just straight teeth—it’s the perfect blend of expertise, precision, and innovation. At V Dental Care, located in Vizag, Vizianagaram, and Srikakulam, advanced dental technologies meet compassionate care to create smiles that are healthier, brighter, and longer-lasting.

Today, dentistry is no longer limited to traditional tools and manual methods. Instead, it has transformed into a modern, technology-driven field that offers faster, more accurate, and more comfortable treatments. From digital dentistry to painless treatments and affordable dental implants, V Dental Care is at the forefront of this transformation.
In this blog, we’ll take you behind the smile and explore how advanced dental technology at V Dental Care is changing lives every day.
Why Dental Technology Matters
The importance of technology in dentistry cannot be overstated. With continuous advancements, dental care today is:
- Faster – Procedures that once took weeks can now be done in a single visit.
- More Accurate – 3D imaging and digital scanning ensure precision in diagnosis and treatment.
- More Comfortable – Minimally invasive techniques reduce discomfort and speed up recovery.
- More Affordable – Efficient treatments often reduce overall costs for patients.
At V Dental Care, our mission is to combine the latest dental technologies in Vizag, Vizianagaram, and Srikakulam with expert dental care so you can enjoy the perfect smile with confidence.
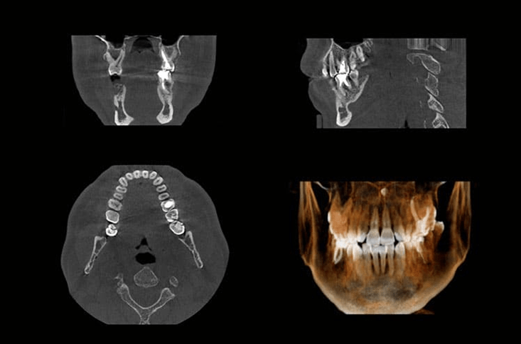
1. CBCT Dental Scan – See Every Detail Clearly

One of the most revolutionary tools in modern dentistry is the CBCT (Cone Beam Computed Tomography) scan. Unlike traditional X-rays, CBCT scans provide a detailed 3D view of your teeth, jaw, and surrounding structures.
Benefits of CBCT Technology:
- Highly detailed images for accurate diagnosis
- Better treatment planning for implants, orthodontics, and root canals
- Lower radiation exposure compared to older imaging methods
At V Dental Care in Vizag, Vizianagaram, and Srikakulam, CBCT is particularly valuable for planning affordable dental implants and other complex surgical procedures. By seeing every detail clearly, dentists can ensure precision-guided treatments that deliver long-lasting results.
2. Intraoral Camera – A Clear View for You and Your Dentist
Ever wondered what your dentist sees during an examination? Thanks to the intraoral camera, patients no longer need to guess. This small, pen-like device captures high-resolution images inside your mouth.
Advantages of Intraoral Camera:
- Helps dentists detect problems early
- Improves communication by showing patients what’s happening inside their mouth
- Encourages patients to make informed decisions about their treatment
At V Dental Care Vizag, patients appreciate this transparent approach. By being able to view their own dental issues on screen, they gain a clear understanding of why a particular treatment is needed.
3. Laser Dentistry – Precision Without the Pain

Traditional drills and scalpels often cause anxiety. However, with laser dentistry, many procedures are now painless and stress-free.
Common Uses of Laser Dentistry:
- Gum reshaping
- Cavity preparation
- Teeth whitening
- Treating gum disease
Because lasers are precise and minimally invasive, they reduce bleeding, swelling, and discomfort. This is why many patients describe laser dentistry in Vizag, Vizianagaram, and Srikakulam as one of the best advances in dental care.
At V Dental Care, our focus on painless dental treatment in Vizag has helped countless patients overcome dental fear and seek timely care.
4. Digital Dentistry – The Future of Smiles
Another exciting advancement is digital dentistry, which integrates computer-based technology into almost every stage of dental care.
What We Offer at V Dental Care:
- Digital impressions – Comfortable, mess-free alternatives to traditional molds
- CAD/CAM systems – Restorations like crowns and veneers designed and created in one visit
- 3D printing – For ultra-precise crowns, bridges, and clear aligners
This technology not only improves accuracy but also saves patients time and money. It’s one of the reasons V Dental Care is considered a leading modern dental clinic in Vizag, Vizianagaram, and Srikakulam.
5. Same-Day Dental Crowns with CEREC Technology
Waiting weeks for a dental crown is now history. With CEREC (Chairside Economical Restoration of Esthetic Ceramics) technology, patients at V Dental Care can receive their crowns in just one appointment.
Benefits of Same-Day CEREC Crowns:
- No need for temporary crowns
- No second visit required
- Perfectly fitted, natural-looking crowns
Our same-day dental crowns in Vizag, Vizianagaram, and Srikakulam combine speed, durability, and aesthetic appeal, making them a patient favorite.
6. Affordable Dental Implants – Restoring Smiles for Life
Dental implants are widely recognized as the gold standard for replacing missing teeth. At V Dental Care, implants are placed using precision-guided technology for the best outcomes.
Why Choose Our Implants?
- Perfect positioning with CBCT scans and digital planning
- Shorter healing time
- Long-lasting, natural-looking results
Moreover, patients looking for affordable dental implants in Vizag, Vizianagaram, and Srikakulam choose V Dental Care because of our balance of advanced technology and cost-effective care.
7. Best Dentist for Smile Makeover in Vizag
Your smile is your signature, and at V Dental Care, we specialize in smile makeovers. These may include a combination of treatments such as veneers, crowns, whitening, and orthodontics.
Why Patients Trust Us for Smile Makeovers:
- Digital smile design to preview results before treatment begins
- A blend of cosmetic and functional improvements
- Natural-looking results that boost confidence
It’s no wonder patients often call us the best dentist for smile makeover in Vizag—our approach blends artistry with advanced technology.
8. Painless Dental Treatments – Because Comfort Comes First

For many patients, fear of pain is the biggest barrier to visiting the dentist. At V Dental Care, comfort is always a priority.
Our Painless Treatment Techniques:
- Laser dentistry
- Computer-guided anesthesia delivery
- Minimally invasive procedures
As a result, patients experience less discomfort, faster healing, and more relaxed dental visits. This has made us a top choice for painless dental treatment in Vizag and surrounding areas.
Why Choose V Dental Care for Advanced Dental Technology?
There are many dental clinics in Vizag, Vizianagaram, and Srikakulam, but what sets V Dental Care apart is the combination of technology, expertise, and patient-first philosophy.
- State-of-the-art equipment – From CBCT scans to intraoral cameras and 3D printers
- Experienced specialists – Skilled in the latest dental techniques
- Convenient locations – Serving Vizag, Vizianagaram, and Srikakulam
- Affordable care – Modern dentistry at local-friendly prices
- Patient-focused approach – Clear communication, comfort, and long-term care
Beyond Technology – The Human Touch
While technology is a driving force in modern dentistry, the human touch remains just as important. At V Dental Care, we believe in:
- Educating patients about their dental health
- Explaining every procedure step by step
- Listening to concerns and answering questions
This approach ensures that patients not only benefit from cutting-edge dental technology but also feel valued and cared for.
Conclusion
The latest dental technologies are transforming smiles across Vizag, Vizianagaram, and Srikakulam. From CBCT dental scans to CEREC same-day crowns, laser dentistry, and affordable implants, V Dental Care is committed to delivering exceptional results with maximum comfort.
If you’ve been waiting to improve your smile, now is the perfect time. With advanced tools, expert dentists, and a patient-first philosophy, your dream smile is just one appointment away.
Experience the power of modern dental technology at V Dental Care—because behind every healthy smile is a story of innovation, care, and confidence.